BOOK NOW
CALL US
BOOK ONLINE

Finance options available

T&C Apply*

Rated 5.0 Google Reviews

Over 272+ 5* reviews

Free aftercare included

Up to 3 months of aftercare

Invisalign® clear braces for children (age 6-11) & teens in York

Free consultation including 3D scan

  • Over 12 yrs+ experience with Aligners
  • Experience with children and advanced cases
  • Finance options available T&C Apply*
  • Free initial consultation
  • Free set of removable retainers included
  • Free 3 month aftercare included
BOOK A FREE CONSULTATION

From

£3,000+

or as little
as £9
a day

Finance options available

T&C Apply*

Rated 5.0 Google Reviews

Over 272+ 5* reviews

Free aftercare included

Up to 3 months of aftercare

RATED
5.0
GOOGLE REVIEWS

Our Invisalign package

You get the world’s most advanced aligner technology and the guidance of our trained Invisalign Dentist, Dr Mafalda Queiroz. But most of all, you get the smile you’ll want to show off.​

  • Finalist Best New Practice UK and Finalist Team of the Year (Dentistry Awards 2023)
  • Healthwatch York (4 awards consecutive yrs) in recognition by the people of York for excellent services in dental care
  • Airway Dentist
  • Neuro-occlusal Rehabilitation Dentist
  • Focus on child well being, sleep, mouth breathing and bruxism (grinding)
  • Very patient and caring approach with children

From £3,000+

From as little as £9 a day

BOOK A FREE CONSULTATION

Free

Invisalign
Consult

Book your FREE consultation

BY DR. MAFALDA QUEIROZ

Diamond Invisalign Provider
in York

We love working with children to help them get the best possible start with their oral health. Using minimally-invasive and removable clear aligners, orthodontic anomalies can be nipped in the bud early on in your child’s life. This can make a really huge difference to their early life, giving them the springboard to enjoy a childhood untroubled by complications related to tooth and jaw misalignment issues.

We have a patient centred approach, we are the only practice in York that works with airway /breathing!

BOOK A FREE CONSULTATION
WHAT WE DO

What are clear aligners for children and how do they work?

Clear aligners are an alternative treatment to braces for teeth straightening. They have been successfully used to treat bite, jaw and other dental development issues in children for a number of years. Dr Mafalda and her team are known for their patience, expertise and skill when delivering life-changing clear aligner treatment to children.

Early orthodontic assessments can be carried out when your child reaches the age of 5, whilst treatment can start once they reach the age of 6.

Teeth straightening for children – going beyond happy smiles

Early intervention to address the position of your child’s teeth and how they erupt can have a transformative knock-on effect on their lives in the future.

Addressing issues such as bite, tooth alignment and jaw abnormalities is clinically proven to improve breathing and posture, amongst other pathologies.

What’s more, treating these issues early can confront feelings of self-doubt and self-confidence your child may develop as a result of living with an abnormal tooth position, which is a priceless gift that will keep on giving for years to come.

BOOK A FREE CONSULTATION

Invisalign for children & teens

  • Ideal for busy parents: clear aligners are prone to fewer instances of damage compared with traditional braces, which reduces the risk of repeated appointments to have the appliance repaired or replaced.
  • Suitable for a variety of orthodontic problems 
  • Addresses issues that improve your child’s well-being as a whole 
  • Supports teeth and jaw development 
  • No limitations on diet: your child can eat their normal diet, removing the aligners between meals

Free

Invisalign offer

What is the invisalign treatment process

  • Your child’s clear aligners are made using comfortable and non-invasive digital scans of their teeth.
  • Using these, we create a set of clear aligners that are used in a sequence.
  • Each aligner moves your child’s teeth close to their new and healthy position. These are worn at home for 22 hours each day.
  • A retainer is then worn overnight to stop unwanted tooth movement
  • In some cases, teeth straightening for children is performed as a two-phase treatment. A growth phase may be needed to first correct growth, followed by a second phase which deals with how the teeth are aligned in your child’s mouth.
BOOK A FREE CONSULTATION
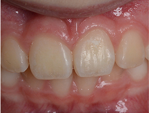
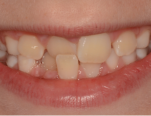
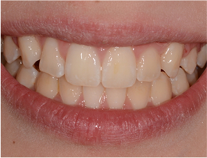
BEFORE AND AFTER RESULTS

Smile transformations

Invisalign is custom made for your needs and can successfully treat overcrowding, irregular or wide-spaced teeth, crossbite, underbite and overbite, and a range of other dental issues.

before
Before
after
After
before
Before
after
After
before
Before
after
After
before
Before
after
After
Testimonials

What our patients says

5/5

My invisalign treatment at york dental suite has been amazing from start to finish. Dr mafalda explained everything to me thoroughly and was always so lovely, as we’re the reception team and everyone who helped with my treatment.

5/5

My Invisalign journey with Dr Mafalda Queiroz has been incredible. She is knowledgeable and makes you feel comfortable at every appointment. I’m so pleased with my teeth I can now smile with confidence.

5/5

My invisalign treatment at york dental suite has been amazing from start to finish. Dr mafalda explained everything to me thoroughly and was always so lovely, as we’re the reception team and everyone who helped with my treatment.

Our Practice

Our practice has been designed with an artist’s eye so that it feels more like a spa experience than a visit to the dentist, and every single team member is here to help our patients move through their dental health journey with ease. Housed in the Liquor Store of the iconic Terry’s chocolate factory, our space honours and preserves the history and character of this important building while bringing cutting-edge, modern dentistry to the people of York.

Dr Mafalda bio

Dr Mafalda Queiroz

Master in Dental Medicine
PGDip in Orthodontics
PGCert in Restorative Dentistry
GDC Number: 197598
Qualified in 2010 from Oporto University in Portugal

We recognise the importance of having a beautiful natural smile but preserving the health of the tooth comes first. Dr Mafalda is committed to delivering dentistry of the highest quality. Through this commitment Dr Mafalda has attended numerous courses over Europe and have successfully completed a PGCert in Restorative Dentistry, a PGDip in Orthodontics as well as numerous advanced biomechanic courses in clear aligners as well as further training in composite bonding with the renowned Dr Monik Vasant.

Dr Mafalda has been an Invisalign leading provider for 10+ years and has helped 1000’s of patients achieve their dream smile achgieveing Diamond provider status. Over the last few years she has dedicated herself to treating children as young as 7yrs, helping them achieve a healthier and happier smile through an improved respiratory and masticatory function with clear aligners.

Our practice has been designed with an artist’s eye so that it feels more like a spa experience than a visit to the dentist, and every single team member is here to help our patients move through their dental health journey with ease. Housed in the Liquor Store of the iconic Terry’s chocolate factory, our space honours and preserves the history and character of this important building while bringing cutting-edge, modern dentistry to the people of York.

The York Dental Suite

Monday
08:15 - 17:15
Tuesday
09:00 - 19:00
Wednesday
08:15 - 17:15
Thursday
08:15 - 19:00
Friday
08:15 - 16:15

Book your FREE consultation